Dentistes et cliniques dentaires en Hongrie
Pourquoi choisir la Hongrie pour ses soins ?
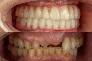
Considérée comme la capitale européenne de l’implantologie, la Hongrie offre un concentré d’expertise, de technologies de pointe et d’économies substantielles ; recourir à des dentistes et cliniques dentaires en Hongrie signifie accéder à des soins haut de gamme 40 à 60 % moins chers qu’en France, tout en profitant d’un encadrement francophone qui lève toute barrière linguistique et transforme votre voyage en parenthèse sereine au bord du Danube.
Traitements et tarifs transparents à Budapest
Nos partenaires proposent l’implant unitaire Straumann, DIO ou Alpha‑Bio dès 440 €, tandis qu’un All‑on‑4 complet se situe autour de 5 870 € — des niveaux de prix alignés sur les meilleures cliniques concurrentes en Hongrie. Le coût exact d’un All‑on‑6 ou d’une réhabilitation complète est défini sur devis, mais reste en moyenne 50 % inférieur aux tarifs pratiqués en France. Chaque montant figure dans un devis détaillé avant votre départ, vous offrant une visibilité totale et éliminant tout risque de frais cachés pour vos soins dentaires en Hongrie.
Expertise et équipements des cliniques dentaires hongroises
Les cliniques hongroises partenaires disposent d’un plateau technique ultra‑moderne : scanner 3D cone‑beam faible dose, chirurgie guidée, empreinte optique iTero et laboratoire CAD/CAM interne pour usiner couronnes en zircone en moins de quarante‑huit heures ; cette infrastructure, combinée à la formation universitaire de Semmelweis et à plus de dix ans d’expérience clinique des praticiens, assure des résultats précis, durables et conformes aux normes ISO 9001.
Parcours patient simplifié en Hongrie
Votre aventure commence par l’envoi d’une radio panoramique que notre implantologue analyse sous soixante‑douze heures avant d’établir un devis comparatif, puis nous réservons vols et transferts coordonnés au planning opératoire ; le traitement se déroule en un ou deux séjours — trois uniquement si un sinus lift prépare le terrain — et se conclut par la remise de votre passeport implantaire, afin que votre réhabilitation orale soit rapide, fluide et sans stress.
Garanties et devis gratuit de nos cliniques dentaires hongroises
Chaque intervention bénéficie d’une garantie écrite de cinq ans sur les implants et de deux ans sur les prothèses ; il vous suffit de nous adresser une radio panoramique annuelle pour prolonger cette couverture, notre équipe médicale répondant sous quarante‑huit heures et planifiant, si nécessaire, un retour en clinique sans frais cachés ; envoyez dès aujourd’hui votre radio via notre formulaire sécurisé et recevez un devis personnalisé pour vos soins auprès des meilleures dentistes et cliniques dentaires en Hongrie.






Hongrie, des centres dentaires innovants
Ces dernières années, le secteur de l’implantologie en Hongrie a connu une croissance impressionnante, positionnant les centres dentaires Hongrie comme des leaders dans ce domaine. Les entreprises hongroises spécialisées dans la fabrication d’implants dentaires proposent une gamme de produits sophistiqués, permettant aux professionnels des centres dentaires Hongrie de répondre à des besoins techniques variés. Il est désormais rare qu’un spécialiste en implantologie à Budapest manque de l’implant ou du pilier prothétique nécessaire pour proposer des solutions thérapeutiques sur mesure. Dentaire Futé travaille en partenariat avec des centres dentaires Hongrie, qui utilisent des implants de marques réputées, reconnues pour leur qualité et leur durabilité.


L'équipe de Dentaire Futé au service de vos soins dentaires en toute sérénité

Cynthia
- cynthia@dentaire-fute.com
Vous êtes décidé à entreprendre vos soins. Je définis avec la clinique votre planning de soins, votre hébergement et votre transport. Nous restons en contact pendant vos soins.

Érica
- erica@dentaire-fute.com
Vous nous avez contacté et vous souhaitez avoir des informations. Je vous aides à nous faire parvenir votre radio et vous renseigne sur les questions que vous vous posez.

Baptiste
- baptiste@dentaire-fute.com
Vous nous avez remis votre radio et votre projet se concrétise. Ensemble nous discuterons des possibilités qui s’offrent à vous et des cliniques en capacité de vous prendre en charge.
L'équipe de l'agence de tourisme dentaire Dentaire Futé au service de vos soins dentaires en toute sérénité
Zen Hostel
Zen Hostel est une auberge de jeunesse idéale pour les voyageurs se rendant à Budapest pour des soins dentaires. Son principal atout ? Des tarifs abordables permettant de réduire le budget global du séjour médical. Les chambres sont confortables, bien entretenues, et les lits offrent un excellent niveau de confort. Tarifs : entre 20 € et 60 € la nuit.
Verdi Hotel
Verdi Hotel figure parmi les plus grands établissements de Budapest et offre un cadre idéal pour les patients souhaitant un séjour paisible pendant leurs soins dentaires. Cet hôtel se distingue par son atmosphère sereine et son service haut de gamme, garantissant confort et détente. L’un de ses principaux atouts est sa formule « All inclusive », qui comprend l’hébergement, le petit-déjeuner ainsi que les repas, permettant aux visiteurs de se concentrer pleinement sur leur rétablissement sans se soucier de l’organisation de leur séjour. Tarifs : entre 68 € et 120 € par nuit.
Opéra Résidence
Opéra Résidence est un complexe d’appartements idéalement situé en plein cœur de Budapest. Offrant des hébergements confortables et bien équipés, il constitue un choix parfait pour les patients voyageant avec leurs proches. Grâce à ses différentes options de logement, cette résidence permet de profiter d’un cadre agréable tout en restant à proximité des commodités du centre-ville. Adresse : Budapest, Ó u. 24-26, 1066 Hongrie. Tarifs : entre 38 € et 110 € par nuit.
Hôtel Radisson
L’Hôtel Radisson Budapest est une adresse prisée par les patients dentaires étrangers en quête de confort et de sérénité au cœur de la capitale hongroise. Idéalement situé, il permet de profiter d’un environnement calme tout en restant à proximité des commerces, des restaurants et des principales attractions de la ville. Reconnu pour l’excellence de ses services, l’établissement offre un cadre haut de gamme où chaque détail est pensé pour assurer un séjour agréable. Les patients ont également la possibilité de séjourner dans des appartements privatifs, garantissant plus d’intimité et de confort. Tarifs : entre 50 € et 140 € par nuit.
Toute l'information sur les soins dentaires à l'étranger

Prothèses implantaires : une solution durable pour remplacer les dents manquantes
Comprendre les prothèses implantaires et leur importance La perte d’une ou plusieurs dents peut avoir un impact considérable sur la qualité de vie. Que ce soit pour des raisons esthétiques,

Couronne zircone ou céramique : choisir la solution idéale pour un sourire durable
Couronne zircone ou céramique : Pourquoi comparer les deux matériaux Lorsque vient le moment de remplacer une dent, le patient se retrouve souvent face à un dilemme : opter pour une

La Formation des Dentistes pour la Pose d’Implants Dentaires en France et en Europe
La pose d’implants dentaires est une spécialité de plus en plus demandée en dentisterie. Cependant, cette procédure nécessite une formation spécifique et rigoureuse. En France et en Europe, les dentistes