Soins dentaires d’exception en Turquie : nos cliniques et dentistes de confiance
Choisissez l’excellence des cliniques dentaires turques
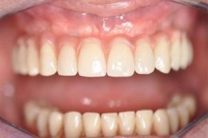
Plongez dans l’univers premium de la clinique dentaire Turquie que nous avons labellisée : dès votre arrivée, des chirurgiens-dentistes ultra-qualifiés vous accueillent dans un environnement technologique de pointe. Portée par un tourisme dentaire en pleine effervescence, la Turquie attire chaque année un flot irrésistible de patients internationaux, séduits par des tarifs jusqu’à 60 % plus bas qu’en Europe occidentale, sans jamais sacrifier la qualité. À Istanbul, la meilleure clinique dentaire Turquie rivalise avec les standards européens : matériaux premium, blocs opératoires stériles, radiologie 3D sur place et implantologues certifiés travaillant exclusivement avec les marques phares Nobel Biocare et Alpha-Bio. Fidèle à son exigence, Dentaire Futé a présélectionné ces établissements d’exception, capables de mener les protocoles les plus complexes en implantologie et en chirurgie avancée, afin que chaque patient reparte avec un sourire éclatant, durable et plein de confiance.
Transformez votre sourire grâce aux dentistes d’exception en Turquie
En optant pour le tourisme dentaire en Turquie, vous profitez d’une expertise incontestée à un tarif imbattable : les dentistes turcs exerçant à Istanbul, Antalya ou Ankara manipulent des équipements numériques ultra-précis et mènent chaque année des milliers de poses d’implants dentaires Turquie avec un taux de réussite envié. Des interventions sophistiquées – extraction chirurgicale sans douleur, sinus lift, greffe osseuse – sont réalisées dans des blocs opératoires stérilisés selon les normes CE, garantissant un résultat durable et esthétiquement parfait. Grâce à cette synergie entre technologies de pointe et savoir-faire clinique, votre nouvelle dentition devient une réalité rapide, sûre et bien plus économique qu’en Europe occidentale.





Des cliniques dentaires turques certifiées, ultra-modernes et visionnaires
Sous la supervision stricte du Ministère turc de la Santé, chaque clinique dentaire Turquie que nous sélectionnons affiche une indépendance exemplaire et une conformité totale aux protocoles internationaux. Leurs laboratoires intégrés, équipés de fraiseuses CAD/CAM et de fours de cuisson haute précision, garantissent des matériaux de qualité chirurgicale pour vos restaurations les plus exigeantes. Ces centres pionniers s’illustrent par leurs technologies disruptives : smile design numérique en temps réel, tomographie 3D ultra-définition, lasers de tissu mou pour une cicatrisation accélérée. Ils excellent enfin dans la fabrication sur-mesure de facettes e-max, dont la translucidité inégalée offre un rendu naturel et durable. Cette alchimie de rigueur médicale et d’innovation fulgurante propulse la Turquie au rang de destination privilégiée pour des soins dentaires à la fois high-tech et accessibles.
Réinventez votre sourire en Turquie, une expérience inoubliable
Choisir la Turquie pour refaire ses dents revient à saisir une occasion irrésistible : bénéficier de soins dentaires Turquie ultramodernes jusqu’à 60 % moins chers qu’en Europe, tout en savourant un séjour dépaysant entre Bosphore et Méditerranée. Chaque clinique dentaire Turquie partenaire allie équipements de dernière génération et praticiens chevronnés capables d’enchaîner implants, couronnes ou facettes avec une précision millimétrique. Avant de franchir le pas, un tri rigoureux s’impose ; c’est pourquoi Dentaire Futé préqualifie les établissements les plus fiables et sécurise vos rendez-vous, afin que votre aventure dentaire se transforme en un succès éclatant et rentable pour votre santé bucco-dentaire comme pour votre budget.
L'équipe
- contact@dentaire-fute.com
Dentaire Futé, votre sourire entre de bonnes mains
Redonnez vie à votre sourire avec Dentaire Futé, le spécialiste du tourisme dentaire en Europe. Depuis plus de dix ans, nous accompagnons les patients français vers des cliniques certifiées au Portugal, en Hongrie et en Roumanie. Notre équipe francophone prend en charge chaque étape : devis rapide, organisation du séjour et suivi après soins. Profitez de traitements haut de gamme réalisés par des chirurgiens expérimentés selon les meilleurs standards européens, tout en économisant jusqu’à 60 % sur vos soins. Appelez-nous dès aujourd’hui ou demandez votre devis dentaire gratuit et personnalisé : avec Dentaire Futé, votre sourire est entre de bonnes mains.
Toute l'information sur les soins dentaires à l'étranger

All-on-6 en zircone : la réhabilitation la plus esthétique et durable
Le All-on-6 en zircone s’impose aujourd’hui comme la référence mondiale en réhabilitation dentaire fixe. Cette technique associe la fiabilité des implants dentaires en titane à la précision et à la

Fiabilité de la pose d’implants dentaires en Hongrie : expérience, modernité et qualité
Expertise des implantologues hongrois La Hongrie est reconnue pour ses praticiens dentaires de premier ordre, dont beaucoup ont des années d’expérience dans la pose d’implants dentaires. Ces professionnels sont souvent

Implants dentaires en Hongrie : prix 2025, économies et garanties
Pourquoi la Hongrie reste la référence européenne Depuis près de deux décennies, la capitale hongroise a façonné une véritable « Dental Valley » où se concentre un réseau dense de