Les résines dentaires occupent aujourd’hui une place centrale dans la dentisterie contemporaine. Longtemps considérées comme de simples matériaux de remplacement, elles sont désormais au cœur des stratégies de soins conservateurs, esthétiques et fonctionnels. Leur évolution technologique a profondément transformé la manière dont les praticiens restaurent les dents, en privilégiant des traitements plus respectueux des tissus naturels, plus rapides et plus accessibles.
Pour de nombreux patients, notamment ceux qui s’interrogent sur la pertinence de soins dentaires à l’étranger, comprendre le rôle et les limites des résines dentaires permet de mieux comparer les devis, d’anticiper la durabilité des traitements et d’éviter certaines déconvenues. Dans le cadre d’un accompagnement médical structuré comme celui proposé par Dentaire Futé, cette compréhension est essentielle pour faire des choix éclairés.
Qu’est-ce qu’une résine dentaire ?
Une résine dentaire est un matériau composite utilisé pour restaurer, réparer ou modifier l’apparence d’une dent. Contrairement aux anciens matériaux métalliques, elle se rapproche visuellement et mécaniquement de la structure naturelle de la dent. Elle est composée d’une matrice organique associée à des charges minérales, auxquelles s’ajoutent des agents de liaison et un système de polymérisation activé par la lumière.
Ce mélange permet d’obtenir un matériau malléable lors de la pose, puis durci directement en bouche, offrant ainsi un ajustement très précis. Cette caractéristique explique en grande partie le succès des résines dentaires, tant pour les soins courants que pour les actes esthétiques.

Une évolution majeure par rapport aux anciens matériaux
Pendant des décennies, l’amalgame dentaire a été le matériau de référence pour les restaurations. Solide et durable, il présentait cependant plusieurs inconvénients, notamment son aspect métallique, sa conductivité thermique et la nécessité de retirer davantage de tissu sain pour assurer sa rétention.
Les résines dentaires ont marqué un tournant. Elles permettent une approche dite adhésive, dans laquelle la restauration se fixe directement à la dent. Cette adhésion réduit considérablement la perte de matière dentaire saine et améliore la préservation à long terme de la dent. Cette philosophie conservatrice est aujourd’hui un standard international en dentisterie moderne.
À quoi servent les résines dentaires en pratique clinique ?
Les résines dentaires sont utilisées dans une grande variété de situations cliniques, allant des soins les plus simples aux restaurations plus complexes.
Dans le cadre du traitement des caries, la résine est devenue le matériau de choix. Elle permet de combler la cavité après élimination du tissu infecté, tout en conservant une apparence naturelle. La dent retrouve ainsi sa forme, sa fonction et son esthétique en une seule séance.
Les résines sont également utilisées pour réparer des dents fracturées ou usées. Une dent ébréchée à la suite d’un choc ou affaiblie par le bruxisme peut être reconstruite avec précision grâce à la résine, sans recourir immédiatement à une couronne.
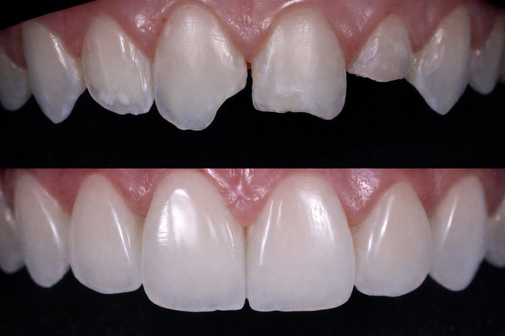
Sur le plan esthétique, les résines jouent un rôle clé dans le bonding dentaire. Cette technique consiste à remodeler légèrement les dents afin de corriger des défauts visibles, comme des espaces interdentaires, des dents trop courtes ou des irrégularités de forme. Le résultat est immédiat et ne nécessite généralement aucune anesthésie lourde.
Enfin, certaines résines sont utilisées comme solutions temporaires ou comme matériaux intermédiaires, notamment avant la pose d’une couronne, d’un bridge ou d’une prothèse implanto-portée.

Les différents types de résines dentaires
Il existe plusieurs catégories de résines dentaires, chacune répondant à des indications spécifiques. Leur choix dépend de la zone à traiter, des contraintes mécaniques et des attentes esthétiques du patient.
Les résines composites universelles sont les plus couramment utilisées. Elles offrent un bon équilibre entre résistance et esthétique, ce qui les rend adaptées aussi bien aux dents antérieures qu’aux dents postérieures.
Les résines micro-hybrides et nano-composites représentent une évolution technologique importante. Grâce à des particules de charge extrêmement fines, elles permettent un polissage plus durable et une meilleure stabilité de la teinte dans le temps. Elles sont particulièrement indiquées pour les zones visibles du sourire.
Les résines fluides, quant à elles, présentent une viscosité plus faible. Elles sont utilisées pour les petites restaurations, les zones difficiles d’accès ou comme complément dans certaines techniques adhésives.

Le rôle esthétique des résines dentaires
L’un des atouts majeurs des résines dentaires réside dans leur capacité à imiter l’aspect naturel de la dent. Les teintes disponibles, la translucidité modulable et la possibilité de travailler en fines couches permettent d’obtenir un rendu très réaliste.
Cette dimension esthétique est particulièrement appréciée par les patients qui souhaitent améliorer leur sourire sans recourir à des traitements lourds ou irréversibles. Dans de nombreux cas, une restauration en résine bien réalisée est indétectable à l’œil nu.
Cependant, l’esthétique dépend fortement de l’expertise du praticien. La stratification des couches, le choix de la teinte et le polissage final jouent un rôle déterminant dans le résultat. C’est pourquoi l’expérience clinique reste un critère essentiel, que ce soit en France ou à l’étranger.
Résistance et durée de vie des résines dentaires
Contrairement à certaines idées reçues, les résines dentaires modernes offrent une bonne résistance mécanique. Elles supportent les contraintes de mastication quotidiennes, à condition d’être correctement indiquées et posées.
La durée de vie moyenne d’une restauration en résine se situe généralement entre cinq et dix ans. Cette longévité dépend de plusieurs facteurs, notamment l’emplacement de la dent, les habitudes du patient et la qualité de l’hygiène bucco-dentaire.
Les dents postérieures, soumises à des forces plus importantes, présentent un risque d’usure plus rapide. Chez les patients souffrant de bruxisme, des précautions supplémentaires peuvent être nécessaires, comme le port d’une gouttière nocturne.

Résines dentaires et soins dentaires à l’étranger
Dans le cadre des soins dentaires à l’étranger, les résines sont largement utilisées, parfois à des coûts nettement inférieurs à ceux pratiqués en France. Cette différence de prix s’explique par des charges structurelles moindres et non par une baisse de la qualité des matériaux.
Il est toutefois essentiel de vérifier le type de résine utilisé et les protocoles de pose. Toutes les résines ne se valent pas, et certaines offres très attractives peuvent reposer sur des matériaux de moindre performance.
C’est pourquoi un accompagnement structuré, comme celui proposé par Dentaire Futé, permet de sécuriser le parcours de soins. L’objectif est de s’assurer que les matériaux utilisés répondent aux standards européens et que les indications sont correctement posées.
Résine ou céramique, une question de stratégie thérapeutique
Le choix entre résine et céramique ne se résume pas à une opposition entre solution temporaire et solution définitive. Il s’agit avant tout d’une décision médicale, basée sur l’état de la dent, les contraintes fonctionnelles et les attentes du patient.
La résine est souvent privilégiée pour des restaurations conservatrices, des corrections esthétiques légères ou des solutions rapides. La céramique, plus rigide et plus stable dans le temps, est indiquée pour les restaurations étendues ou les dents fortement délabrées.
Dans certains cas, la résine constitue une étape transitoire avant un traitement plus définitif. Cette approche progressive permet de préserver la dent et de différer des actes plus invasifs.
Les limites à connaître avant de choisir une résine dentaire
Malgré leurs nombreux avantages, les résines dentaires présentent certaines limites. Elles sont plus sensibles à l’usure que la céramique et peuvent se teinter avec le temps, notamment chez les patients consommateurs de tabac, de café ou de vin.
Leur durabilité dépend également du respect des protocoles de collage. Une pose approximative peut entraîner des infiltrations, responsables de récidives carieuses ou de décollements précoces.
Ces éléments soulignent l’importance d’une évaluation personnalisée et d’un suivi régulier, quel que soit le lieu où les soins sont réalisés.
Pourquoi bien comprendre les résines dentaires avant un devis ?
Pour un patient, comprendre ce que recouvre le terme « résine dentaire » permet de mieux interpréter un devis. Certaines propositions mettent en avant un prix attractif sans préciser la nature exacte du matériau ou la technique employée.
Une information claire permet d’éviter les malentendus et de comparer des traitements réellement équivalents. Elle contribue également à instaurer une relation de confiance avec le praticien ou l’intermédiaire médical.
Dans une démarche de soins responsable, la transparence sur les matériaux utilisés est un élément clé, au même titre que la qualification du praticien et les conditions de suivi post-traitement.
Les résines dentaires, un pilier de la dentisterie moderne
Les résines dentaires ne sont plus de simples solutions de dépannage. Elles représentent aujourd’hui un pilier essentiel de la dentisterie moderne, alliant conservation des tissus, esthétique et accessibilité.
Bien indiquées et correctement mises en œuvre, elles offrent des résultats fiables et satisfaisants pour une grande majorité de situations cliniques. Leur compréhension permet aux patients d’aborder leurs soins avec plus de sérénité, que ceux-ci soient réalisés localement ou dans le cadre d’un projet de soins dentaires à l’étranger.
Le rôle de la résine dans les prothèses hybrides
Dans les prothèses hybrides fixées sur implants, comme les solutions de type All-on-4 ou All-on-6, la résine occupe une place essentielle tant sur le plan fonctionnel qu’esthétique. Elle permet avant tout de recréer artificiellement la gencive, ce qui est indispensable chez les patients présentant une perte osseuse et gingivale importante. Cette résine rose redonne du volume au sourire, corrige l’affaissement des tissus et assure un soutien naturel des lèvres, évitant ainsi l’aspect trop court ou artificiel de la prothèse. Sur le plan mécanique, la résine sert de base de fixation aux dents prothétiques et agit comme un véritable amortisseur des forces masticatoires. Sa capacité à absorber les chocs limite la transmission directe des contraintes aux implants, ce qui contribue à leur pérennité.

Comparée aux matériaux entièrement céramiques, la résine offre également une plus grande légèreté et une certaine souplesse, améliorant le confort du patient au quotidien, notamment en cas de mastication intense ou de bruxisme modéré. Un autre avantage majeur réside dans la facilité de réparation et d’ajustement. En cas d’usure, de fracture d’une dent ou d’évolution de la gencive, la résine peut être retouchée ou complétée sans avoir à refaire l’ensemble de la prothèse. Enfin, elle permet de proposer une solution fixe sur implants plus accessible financièrement, tout en conservant une fonction masticatoire efficace et un rendu esthétique satisfaisant. Bien que la résine soit plus sensible à l’usure et aux colorations que la zircone, son rôle reste fondamental dans les prothèses hybrides modernes, à condition d’un suivi régulier et d’une hygiène rigoureuse.
SOURCES :
Haute Autorité de Santé (HAS) – Restaurations coronaires directes
Recommandations officielles françaises sur les matériaux de restauration directe, dont les résines composites, leurs indications et leurs limites cliniques.
European Federation of Conservative Dentistry (EFCD) – Direct composite restorations
Consensus européen détaillant les bonnes pratiques cliniques, la durabilité et les critères de choix des restaurations en résine composite.
International Team for Implantology (ITI) – Restorative materials overview
Documents de référence expliquant la place des matériaux résineux et céramiques dans les restaurations dentaires modernes.
National Library of Medicine (PubMed) – Resin-based dental composites review
Revue scientifique sur la composition, les propriétés mécaniques et la longévité des résines composites dentaires.
UNESS – Enseignement universitaire d’odontologie : les résines composites
Cours universitaire détaillant la composition, les indications cliniques et les protocoles d’utilisation des résines dentaires.
(Consulté le 15/01/2026)








