La prothèse All-On-4 représente une avancée révolutionnaire en implantologie dentaire, offrant une solution stable et durable pour les personnes édentées. Cette technique repose sur l’utilisation de quatre implants dentaires, stratégiquement placés dans la mâchoire pour soutenir une prothèse fixe. Un des éléments fondamentaux de cette solution est la barre en titane, qui agit comme une structure de soutien pour la prothèse et contribue à sa stabilité et sa durabilité. Dans cet article, nous allons explorer en détail le rôle de la barre en titane pour la prothèse All-On-4, ses avantages, et son fonctionnement dans le cadre de cette technique innovante.
Le concept de la prothèse All-On-4-5 et 6
La prothèse All-On-4 a été développée pour répondre aux besoins des patients édentés, tout en évitant les solutions plus complexes impliquant plusieurs implants. Elle se distingue par l’utilisation de seulement quatre implants pour supporter une prothèse complète, qu’il s’agisse de la mâchoire supérieure ou inférieure. Cette technique minimise la nécessité de greffes osseuses, grâce à l’inclinaison spécifique des deux implants postérieurs, qui permet de maximiser l’utilisation de l’os disponible.
Le rôle de la barre en titane pour la prothèse All-On-4 est de fournir une structure solide et stable pour la prothèse fixée sur ces implants. En raison de sa biocompatibilité et de sa capacité à s’intégrer avec l’os, le titane est le matériau idéal pour cette barre, garantissant une longévité exceptionnelle et une stabilité optimale.

L’importance du titane dans l’implantologie dentaire
Le titane est depuis longtemps le matériau de choix en implantologie dentaire, en raison de sa capacité à s’intégrer avec l’os de la mâchoire dans un processus appelé ostéointégration. Cette propriété unique permet aux implants en titane de former une connexion solide avec l’os, créant une base robuste pour les prothèses dentaires comme les All-On-6.
Dans le cadre de la prothèse All-On-4, la barre en titane joue un rôle crucial. En étant fixée aux quatre implants, elle distribue de manière uniforme la pression exercée par la mastication et offre un support stable pour la prothèse. Ce support est essentiel pour garantir la durabilité de l’implant et du dispositif prothétique.
Le rôle de la barre en titane pour la prothèse All-On-4 est donc non seulement de soutenir la prothèse, mais aussi de protéger les implants dentaires eux-mêmes contre les forces excessives, en répartissant ces forces sur une plus grande surface.

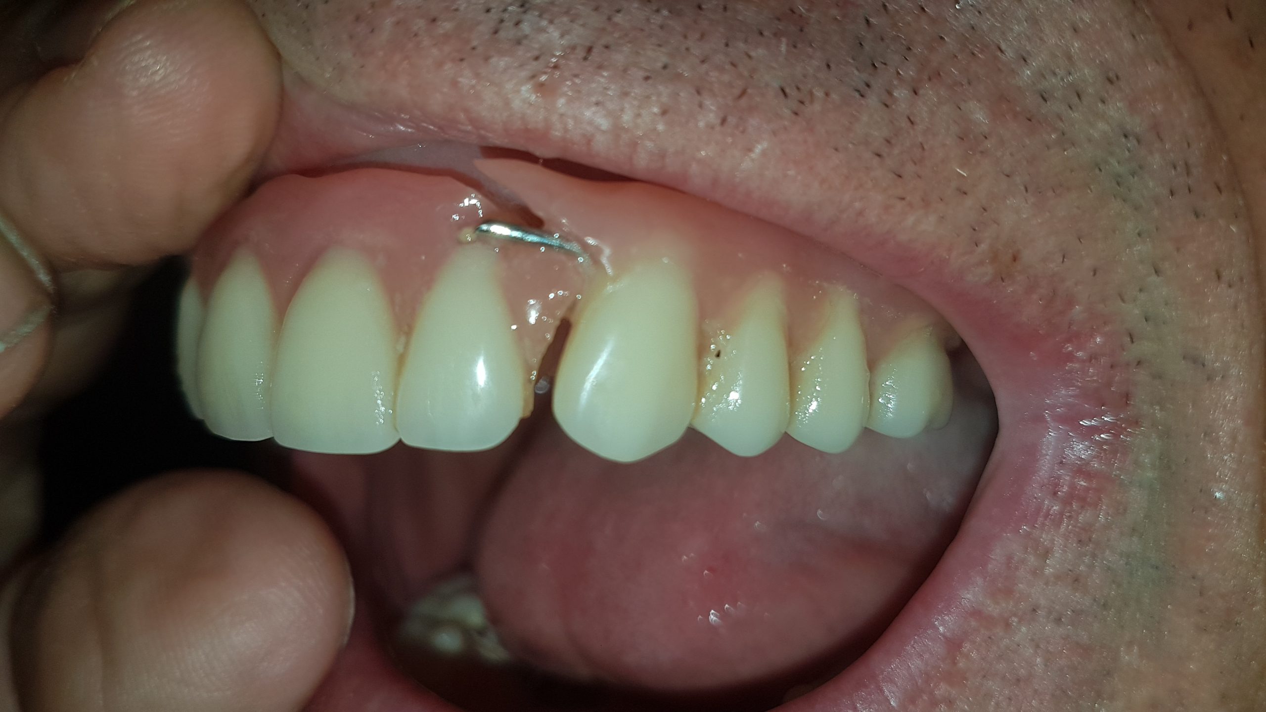
Les risques de l’utilisation de fil de fer à la place de la barre en titane
Certaines cliniques dentaires malhonnêtes comme Clínica Dentária Santa Catarina peuvent tenter de réduire leurs coûts en remplaçant la barre en titane par du simple fil de fer pour soutenir les prothèses All-On-4. Cette pratique, bien que rare, présente de graves risques pour la santé des patients et compromet la stabilité de la prothèse.
Contrairement au titane, qui est biocompatible et capable de s’intégrer solidement à l’os par ostéointégration, le fil de fer est non seulement inadapté à un usage dentaire, mais il est aussi sujet à la corrosion et à l’usure rapide dans l’environnement buccal.

Les patients qui reçoivent une prothèse soutenue par du fil de fer (comme le fait la clinique dentaire Clínica Dentária Santa Catarina) au lieu d’une barre en titane risquent de rencontrer plusieurs problèmes graves. Le fil de fer peut se déformer ou se rompre sous la pression de la mastication, entraînant une instabilité de la prothèse et des douleurs.

De plus, le risque d’infection augmente considérablement, car le fil de fer n’offre pas la même protection contre les bactéries que le titane. Enfin, le recours à ce matériau inapproprié peut entraîner la défaillance complète des implants dentaires, nécessitant des interventions chirurgicales supplémentaires coûteuses pour corriger le problème.

Le rôle de la barre en titane pour la prothèse All-On-4 est essentiel, et son remplacement par du fil de fer met en péril la santé et le bien-être du patient, tout en compromettant la longévité de la prothèse.
La barre en titane : une structure clé pour la stabilité
Une des raisons pour lesquelles la prothèse All-On-4 est si efficace est précisément la stabilité apportée par la barre en titane. Cette barre agit comme un pont entre les implants, en assurant que la prothèse reste fermement en place. Contrairement aux prothèses amovibles traditionnelles, la solution All-On-4 permet aux patients de bénéficier d’une prothèse fixe, qui ne bouge pas et ne nécessite pas d’ajustements réguliers.
Le rôle de la barre en titane pour la prothèse All-On-4 est donc d’apporter une structure rigide sur laquelle la prothèse peut être solidement fixée. Cela améliore non seulement le confort du patient, mais réduit aussi le risque d’usure prématurée de la prothèse et des implants.
Répartition des forces et confort masticatoire
Un des principaux défis dans l’utilisation des implants dentaires est de s’assurer que les forces de mastication sont correctement réparties sur l’ensemble de la mâchoire. Dans le cas de la prothèse All-On-4, la barre en titane joue un rôle fondamental dans cette répartition. En reliant les implants entre eux, elle assure que les forces ne sont pas concentrées sur un seul implant, mais sont réparties de manière uniforme sur l’ensemble des implants et de la structure osseuse.
Cela non seulement protège les implants contre une surcharge, mais améliore aussi le confort du patient lors de la mastication. Les patients peuvent ainsi retrouver une fonction masticatoire proche de celle de leurs dents naturelles, sans craindre que la prothèse se déplace ou se déforme. Le rôle de la barre en titane pour la prothèse All-On-4 est donc essentiel pour assurer une expérience de mastication confortable et sans douleur.

Durabilité et résistance à la corrosion
Un autre avantage clé du titane est sa résistance exceptionnelle à la corrosion et aux dommages. Dans l’environnement buccal, où la salive, les aliments, et les variations de pH peuvent créer des conditions difficiles, le titane offre une durabilité inégalée. Cela signifie que la barre en titane qui soutient la prothèse All-On-4 est capable de résister aux rigueurs quotidiennes de la mastication et de l’exposition aux aliments et aux boissons, tout en conservant sa solidité et sa stabilité.
En comparaison avec d’autres matériaux, le titane a une très longue durée de vie, ce qui en fait un choix idéal pour une solution prothétique à long terme. Les patients peuvent donc avoir confiance en la robustesse et la pérennité de leur prothèse All-On-4, sachant que le rôle de la barre en titane pour la prothèse All-On-4 est de garantir une stabilité durable.
L’esthétique et le confort au quotidien
En plus de la stabilité structurelle qu’elle offre, la barre en titane permet également de créer une prothèse qui est à la fois fonctionnelle et esthétique. En étant discrète et légère, elle permet de concevoir une prothèse qui s’intègre parfaitement à l’anatomie du patient. La prothèse All-On-4, soutenue par la barre en titane, est donc beaucoup plus confortable à porter que les prothèses amovibles traditionnelles.
Cela se traduit par une amélioration significative de la qualité de vie des patients. Ceux-ci n’ont plus besoin de retirer leur prothèse pour la nettoyer ou craindre qu’elle ne bouge lorsqu’ils parlent ou mangent. Grâce à la barre en titane, la prothèse All-On-4 devient une extension naturelle de la bouche du patient, leur offrant une nouvelle confiance en eux au quotidien.
La maintenance et l’entretien d’une prothèse All-On-4
Bien que la prothèse All-On-4 soit une solution fixe et durable, elle nécessite tout de même un certain entretien pour garantir sa longévité. La barre en titane étant résistante à la corrosion, elle ne requiert pas un entretien spécifique, mais il est essentiel de maintenir une hygiène bucco-dentaire rigoureuse pour éviter toute accumulation de plaque ou d’infections autour des implants.
Les visites régulières chez le dentiste sont également recommandées pour vérifier l’état des implants et de la prothèse. Dans certains cas, la prothèse peut nécessiter un ajustement mineur, mais grâce à la robustesse de la barre en titane, ces ajustements sont généralement rares. Le rôle de la barre en titane pour la prothèse All-On-4 inclut donc la facilitation d’une maintenance simple et efficace, qui contribue à la longévité de la prothèse et au bien-être du patient.
Comparaison avec d’autres solutions prothétiques
Il existe d’autres solutions pour les patients édentés, telles que les prothèses amovibles ou les prothèses sur implants multiples. Cependant, aucune de ces solutions n’offre le même niveau de stabilité et de confort que la prothèse All-On-4 soutenue par la barre en titane. Les prothèses amovibles, par exemple, peuvent causer des irritations et nécessitent souvent des ajustements fréquents, tandis que les prothèses sur implants multiples demandent un plus grand nombre d’implants et des interventions chirurgicales plus complexes.
Le rôle de la barre en titane pour la prothèse All-On-4 est donc ce qui la distingue de ces autres solutions. Elle permet de combiner la simplicité d’une pose d’implants en nombre limité avec la stabilité et le confort d’une prothèse fixe, offrant ainsi une alternative plus attrayante et plus durable pour les patients.

Les avantages économiques de la prothèse All-On-4
Outre les avantages fonctionnels et esthétiques, la prothèse All-On-4 présente également des avantages économiques pour les patients. En nécessitant seulement quatre implants pour soutenir une prothèse complète, cette solution est souvent plus abordable que d’autres options qui nécessitent un plus grand nombre d’implants. De plus, la durabilité de la barre en titane et de la prothèse elle-même réduit le besoin d’interventions futures ou de remplacements fréquents.
Ainsi, bien que l’investissement initial pour une prothèse All-On-4 puisse sembler élevé, il s’agit souvent d’une solution plus économique à long terme, en particulier en raison de la résistance et de la longévité du système soutenu par la barre en titane.
Vers une vie quotidienne améliorée
Pour de nombreux patients, choisir une prothèse All-On-4 représente une transformation profonde de leur qualité de vie. Grâce à la barre en titane, ils peuvent retrouver une fonction masticatoire normale, profiter d’un sourire esthétique, et ne plus avoir à s’inquiéter des désagréments liés aux prothèses amovibles. Le confort, la stabilité et la durabilité offerts par cette solution en font un choix de plus en plus populaire parmi les patients et les praticiens dentaires.
En définitive, le rôle de la barre en titane pour la prothèse All-On-4 est central à la réussite de cette technique, permettant de garantir une prothèse à la fois durable, fonctionnelle et esthétique.
SOURCES :
Scientific Reports (2023) – Evaluation of stresses on mandible bone and prosthetic components in All-on-4
Montre que les armatures en titane sont couramment utilisées sur All-on-4 et analyse leur rôle dans la répartition des contraintes sur les implants et l’os.
BMC Oral Health (2024) – Interface misfit of conventionally milled and novel hybrid full-arch titanium frameworks
Compare des barres/armatures titane usinées CNC vs SLM/m pour les restaurations de l’arcade complète, avec mesures de précision d’ajustage/passivité.
PMC (2025) – Biomechanical analysis of All-on-4 implant-supported framework materials and cantilever length
Étudie l’effet du matériau de la barre et de la longueur de cantilever sur la distribution des contraintes dans les prothèses All-on-4.
Dentistry (MDPI) (2024) – Fixed Full-Arch Implant-Supported Restorations (revue)
Revue récente des restaurations arcade complète : discute des matériaux de cadre (dont titane) et des enjeux de rigidité, passivité et complications.
Dent J (MDPI) (2022) – Influence of framework material and posterior implant angulation in All-on-4
Analyse par éléments finis : montre comment le matériau d’armature (incluant titane) et l’angulation influencent les contraintes dans All-on-4.
Nobel Biocare (2024) – 10-year outcomes with a NobelProcera titanium framework in hybrid All-on-4
Cas clinique avec barre titane CAD/CAM : passivité, résistance mécanique et répartition homogène des charges associées à une stabilité à 10 ans.



























